
CogNet Lung
CogNet Lung is a suite of AI products for improving lung cancer screening & disease detection.

Lung AI Suite
Catch the earliest signs of lung disease with AI-powered precision. MedCognetics' abnormality detection engine highlights subtle nodules, lesions, and patterns that may be overlooked, supporting radiologists with greater confidence and speed.
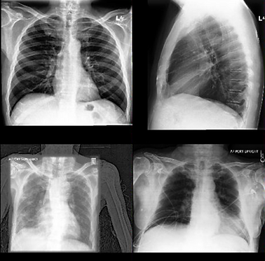
1. Chest X-Ray
Elevate routine chest imaging into a comprehensive screening tool. MedCognetics' AI-powered chest X-ray platform supports detection and screening of lung diseases, delivering faster triage, more consistent reporting, and improved outcomes across diverse patient populations.


03
2. Low-Dose CT
​Built with MedCognetics' development platform, our low-dose CT AI is moving toward scale with development efforts focused on Guam. This initiative has been supported in part by the National Institutes of Health (NIH), reflecting both scientific rigor and commitment to community health.